


Book Appointment
8377097725
In the modern times, dentistry has evolved in several aspects. Dental radiology has also improved to a great extent thanks to the excellent technology introduced in dentistry. Dental radiology now utilizes modern technology in the form of digital methods of taking radiographs of the patients. Dental RVG x-ray and dental panoramic x-ray are the two principal segments of the dental radiology which have made significant changes in the diagnosis segment of dentistry.
Digital RVG X-rays
Digital radiography is a form of X-ray imaging, where digital X-ray sensors are used instead of traditional photographic film. The advantages of the dental RVG x-rays include time efficiency through bypassing chemical processing and the ability to transfer and enhance images digitally. Also, less radiation can be used to produce an image of similar contrast to conventional radiography.
Radiovisiography x-rays are utilized in the best ways in the recent times. At Kathuria Dental Clinic, Dental RVG x-rays are present which provide great benefit for the faster shooting of the x-rays of patients. It speeds up the entire dental treatment as x-rays are a base of a dental treatment if the procedure deals with the internal structures.
One of the major benefits of the dental RVG x-rays is that films which are to be held with hands are not required here. Digital way of shooting x-rays and diagnosis on the computer is done here. So, patients can also appreciate the status of their tooth along with the dentist. This leads to increased transparency of the treatment steps and status to the patient thus leading to improved co-operation on the patient’s part.
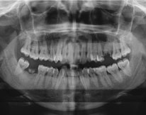
Digital Panoramic X-Ray
An Orthopantomogram (OPG), also known as an “orthopantogram” or “panorex,” is a panoramic scanning dental X-ray of the upper and lower jaw. It shows a two-dimensional view of the teeth and surrounding structures for a clear picture and diagnosis.
This new era dental radiography method is useful for dentists as well as patients as it saves a lot of time. It is most useful in case of doubt of the presence of cysts or tumors around the teeth or jaws. Diagnosis can be made easily, and the treatment can be started accordingly. Patient cooperation level has increased because of the ease of taking radiographs on the x-ray machine. The radiation exposure in case of the dental panoramic x-ray is around 30-40% less than that of the traditional radiograph shooting method. So, it is highly recommended instead of taking multiple radiographs according to the case.
Thus, these techniques have uplifted the quality of the dental radiology to the next level.