


Book Appointment
8377097725

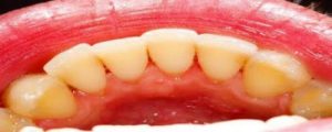
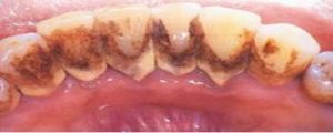
Dental cleanings involve removing plaque (soft, sticky, bacteria film) and tartar (calculus) deposits that have built up on the teeth over time. Your teeth are continually bathed in saliva which contains calcium, phosphorus, fluorides and other substances which help strengthen and protect the teeth. While this is a good thing, it also means that we tend to get a build-up of calcium deposits on the teeth. Usually, it is tooth colored and can easily be mistaken as part of the teeth, but it also can vary from brown to black in color.
If the scale, or calculus (tartar, as dentists like to call it) is allowed to accumulate on the teeth it will provide the right conditions for bacteria to thrive next to the gums. The purpose of the cleaning and polishing is basically to leave the surfaces of the teeth clean and smooth so that bacteria are unable to stick to them and you have a better chance of keeping the teeth clean during your regular home care.
Commonly used first is an ultrasonic instrument which uses tickling vibrations to knock larger pieces of tartar loose. It also sprays a cooling mist of water while it works to wash away debris and keep the area at a proper temperature. The device typically emits a humming or high-pitched whistling sound. This may seem louder than it actually is because the sound may get amplified inside your head, just like when you put an electric toothbrush into your mouth.
It’s recommended visiting your dentist every 6 months for then regular checkup & full mouth scaling & polishing.



